带状疱疹是怎么引起的呢?
来源:海口肤康皮肤病医院 时间:2017-09-11 16:54
带状疱疹是怎么引起的呢?带状疱疹由水痘-带状疱疹病毒引起的,相对于其它疾病来说带状疱疹还是比较严重的,如果在特殊部位,如果治疗不及时,很可能会导致一系列并发证,那么,带状疱疹是怎么引起的呢?下面一起看看海口肤康医院医生是怎么介绍的吧!

带状疱疹的诱发原因
临床上水痘及带状疱疹都是由同一病毒也就是水痘-带状疱疹病毒引起,一旦感染上这种病毒,那么原发感染为水痘,而带状疱疹的发生则是因为这种病毒可在治疗后,长期潜伏于脊髓后根神经节或颅神经的感觉神经节,呈现休眠状态,一旦机体抵抗力下降就会再度被激活,到成年后而发生带状疱疹。
也就是说,一旦感染水痘-带状疱疹病毒后,如若出现潜伏感染而又被再度激活的情况,那么就会引起带状疱疹,这也是带状疱疹发生的根本原因。
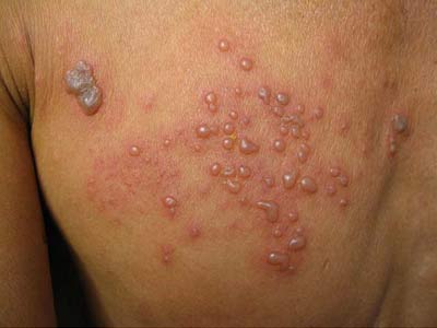
带状疱疹的症状往往因个人机体免疫状态不同,而表现多样,且带状疱疹的症状往往在早期极易造成误诊,因为患者在发疹前常有轻度全身不适,在即将出现皮损的部位往往先会出现神经痛、瘙痒或皮肤感觉过敏,极易误诊为肋间神经痛、胸膜炎等疾病。
当然,病情进一步发展,带状疱疹的症状也就会越加明显,一般来说,1~4天后局部皮肤初起不规则的红斑,继之出现数片成群但不融合的粟粒至绿豆大小的丘疹、丘疱疹,迅速变为水疱,疱液清亮,疱壁紧张、发亮,周围有红晕,全身症状轻微,或没有全身症状。
温馨提示:带状疱疹若不及时治疗的话,其后果是非常严重的,所以大家在出现此症状时,请及时到正规医院就诊。如果想要了解更多关于带状疱疹相关知识,可咨询我院在线医生,或拨打我院24小时皮肤热线0898-65333100,我院医生将一一为您解答。
上一篇:没有了
下一篇:带状疱疹是怎么引起的?








